Uveal Spindle Cell Tumor Dog No 3 Antoni A Behavior Is Shown He Download Scientific Diagram

Uveal Spindle Cell Tumor Dog No 3 Antoni A Behavior Is Shown He Download Scientific Diagram

Any Experience With Spindle Cell Turmors Please Poodle Biting Legal Dogs Page 13 City Data Forum

Any Experience With Spindle Cell Turmors Please Poodle Biting Legal Dogs Page 13 City Data Forum

Any Experience With Spindle Cell Turmors Please How Much Labradors Golden Retriever Dogs City Data Forum

Any Experience With Spindle Cell Turmors Please How Much Labradors Golden Retriever Dogs City Data Forum

Cytology Of Neoplasia An Essential Component Of Diagnosis Today S Veterinary Practice

Cytology Of Neoplasia An Essential Component Of Diagnosis Today S Veterinary Practice

Figure 1 From Anterior Uveal Spindle Cell Tumor In A Blue Eyed Mixed Breed Dog Semantic Scholar

Figure 1 From Anterior Uveal Spindle Cell Tumor In A Blue Eyed Mixed Breed Dog Semantic Scholar

Soft Tissue Sarcoma Grade 2 Eat Play Woof

Soft Tissue Sarcoma Grade 2 Eat Play Woof

Soft Tissue Sarcoma Grade 2 Eat Play Woof >

Canine Fibrosarcoma Tumors In Dogs

Canine Fibrosarcoma Tumors In Dogs

Any Experience With Spindle Cell Turmors Please Terrier Veterinarians Food Dogs Page 11 City Data Forum

Any Experience With Spindle Cell Turmors Please Terrier Veterinarians Food Dogs Page 11 City Data Forum

Characterization Of The Primary Mammary Spindle Cell Tumor 309 Fig Download Scientific Diagram

Characterization Of The Primary Mammary Spindle Cell Tumor 309 Fig Download Scientific Diagram

The Talk Of The Town Spindle Cell Tumour In Dogs

The Talk Of The Town Spindle Cell Tumour In Dogs

The Talk Of The Town Spindle Cell Tumour In Dogs

The Talk Of The Town Spindle Cell Tumour In Dogs

Https Journals Sagepub Com Doi Pdf 10 1177 0300985817707022

Https Journals Sagepub Com Doi Pdf 10 1177 0300985817707022

Spindle Cell Tumor Ramaekers Nutrition

Spindle Cell Tumor Ramaekers Nutrition

Ileum Well Differentiated Leiomyosarcoma Dog No 30 Spindle Cell Download Scientific Diagram

Ileum Well Differentiated Leiomyosarcoma Dog No 30 Spindle Cell Download Scientific Diagram

Conference 20 2015 Case 04 20160406

Conference 20 2015 Case 04 20160406

Soft Tissue Sarcomas Aka Spindle Cell Tumors Why They Just Kinda Suck Vetchick Com

Soft Tissue Sarcomas Aka Spindle Cell Tumors Why They Just Kinda Suck Vetchick Com

Spindle Cell Carcinoma An Overview Sciencedirect Topics

Spindle Cell Carcinoma An Overview Sciencedirect Topics

Any Experience With Spindle Cell Turmors Please Home Normal Recovery Dogs Page 30 City Data Forum

Any Experience With Spindle Cell Turmors Please Home Normal Recovery Dogs Page 30 City Data Forum

Uterine Mast Cell Tumor Dog Pleomorphic Round To Spindle Cells Download Scientific Diagram

Uterine Mast Cell Tumor Dog Pleomorphic Round To Spindle Cells Download Scientific Diagram

Ganglioglioma Pituitary Gland Dog Figure 2 The Tumor Contained Download Scientific Diagram

Ganglioglioma Pituitary Gland Dog Figure 2 The Tumor Contained Download Scientific Diagram

Electron Microscopic Image Of Spindle Cell Tumor Dog No 10 The Arrow Download Scientific Diagram

Electron Microscopic Image Of Spindle Cell Tumor Dog No 10 The Arrow Download Scientific Diagram

Pathological Examination A Low Degree Malignant Spindle Cell Tumor Download Scientific Diagram

Pathological Examination A Low Degree Malignant Spindle Cell Tumor Download Scientific Diagram

Pdf Anterior Uveal Spindle Cell Tumor In A Cat Semantic Scholar

Pdf Anterior Uveal Spindle Cell Tumor In A Cat Semantic Scholar

Diagnostically Challenging Spindle Cell Neoplasms Of The Retroperitoneum Sciencedirect

Diagnostically Challenging Spindle Cell Neoplasms Of The Retroperitoneum Sciencedirect

Https Encrypted Tbn0 Gstatic Com Images Q Tbn And9gcqszavsfg6gpxvqprklm6exvifsjhc2zb 88s4leoafrxkobdhr Usqp Cau

Https Encrypted Tbn0 Gstatic Com Images Q Tbn And9gcqszavsfg6gpxvqprklm6exvifsjhc2zb 88s4leoafrxkobdhr Usqp Cau

Any Experience With Spindle Cell Turmors Please Bullmastiff Barks Sheltie Dogs Page 12 City Data Forum

Any Experience With Spindle Cell Turmors Please Bullmastiff Barks Sheltie Dogs Page 12 City Data Forum

Eye Dog A Nodular Expansion Of The Iris And Ciliary Body By A Download Scientific Diagram

Eye Dog A Nodular Expansion Of The Iris And Ciliary Body By A Download Scientific Diagram

Peripheral Nerve Sheath Skin Tumor In Dog Immunohistochemistry Download Scientific Diagram

Peripheral Nerve Sheath Skin Tumor In Dog Immunohistochemistry Download Scientific Diagram

Histopathology Of Peripheral Nerve Sheath Tumors A Spindle Cell Download Scientific Diagram

Histopathology Of Peripheral Nerve Sheath Tumors A Spindle Cell Download Scientific Diagram

Figure 1 From Anterior Uveal Spindle Cell Tumor In A Cat Semantic Scholar

Figure 1 From Anterior Uveal Spindle Cell Tumor In A Cat Semantic Scholar

Benign Peripheral Nerve Sheath Skin Tumors In Dog A Sub Macroscopic Download Scientific Diagram

Benign Peripheral Nerve Sheath Skin Tumors In Dog A Sub Macroscopic Download Scientific Diagram

Gastrointestinal Stromal Tumor Wikipedia

Gastrointestinal Stromal Tumor Wikipedia

Fibrosarcomas In Dogs Vca Animal Hospital

Fibrosarcomas In Dogs Vca Animal Hospital

Pdf Correlation Between Fine Needle Aspiration Cytology And Histopathology In The Evaluation Of Cutaneous And Subcutaneous Masses From Dogs And Cats

Pdf Correlation Between Fine Needle Aspiration Cytology And Histopathology In The Evaluation Of Cutaneous And Subcutaneous Masses From Dogs And Cats

Mesenchymal Tumors Eclinpath

Mesenchymal Tumors Eclinpath

Figure 2 From Low Grade Myofibroblastic Sarcoma Of The Maxillary Region In A Dog Semantic Scholar

Figure 2 From Low Grade Myofibroblastic Sarcoma Of The Maxillary Region In A Dog Semantic Scholar

Color Cytology Atlas Of Common Feline Skin Tumors Mspca Angell

Color Cytology Atlas Of Common Feline Skin Tumors Mspca Angell

A Rare Cause Of Post Menopausal Vaginal Bleeding A Case Of An Extra Gastrointestinal Stromal Tumor

A Rare Cause Of Post Menopausal Vaginal Bleeding A Case Of An Extra Gastrointestinal Stromal Tumor

First Post Surgery Follow Up Time 1 In A Dog With Oral Amelanotic Download Scientific Diagram

First Post Surgery Follow Up Time 1 In A Dog With Oral Amelanotic Download Scientific Diagram

Spindle Cell Cancer Prognosis Cancer News Update

Spindle Cell Cancer Prognosis Cancer News Update

Tumors Of Muscle Veterian Key

Tumors Of Muscle Veterian Key

Desmoplasia Wikipedia

Desmoplasia Wikipedia

Any Experience With Spindle Cell Turmors Please Shepherd Tumors Vet Dogs Page 3 City Data Forum

Any Experience With Spindle Cell Turmors Please Shepherd Tumors Vet Dogs Page 3 City Data Forum

Read Only Case Details Reviewed Oct 2010

Read Only Case Details Reviewed Oct 2010

Pathology Outlines Spindle Cell Pleomorphic Lipoma

Pathology Outlines Spindle Cell Pleomorphic Lipoma

Soft Tissue Hibernomas

Soft Tissue Hibernomas

Inflammatory Fibroid Polyps

Inflammatory Fibroid Polyps

Histologic Subtypes Of Gists A Spindle Cell Type The Tumor Is Download Scientific Diagram

Histologic Subtypes Of Gists A Spindle Cell Type The Tumor Is Download Scientific Diagram

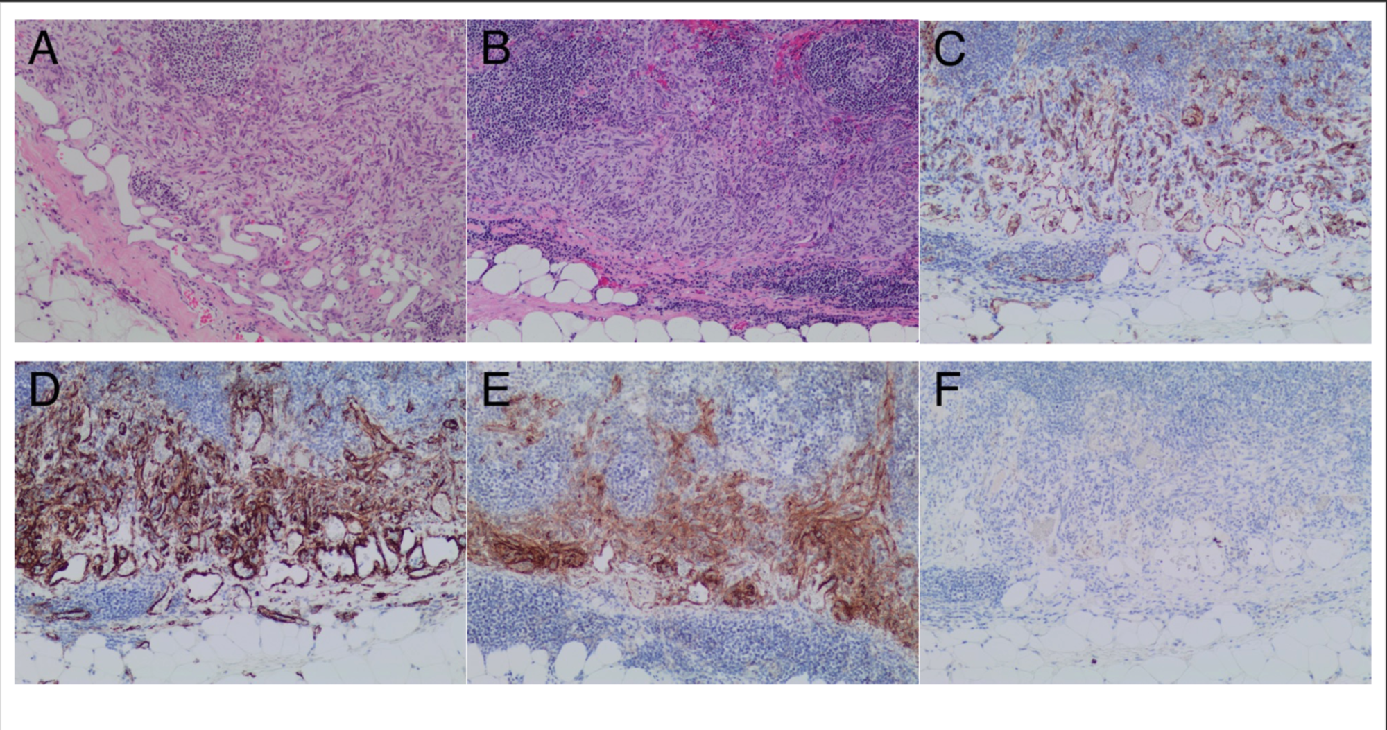
Cureus Nodular Spindle Cell Vascular Transformation In Pelvic Lymph Nodes With Discovered On Gist1 Dog1 Positivity Mimicking Metastatic Gastrointestinal Stromal Tumor

Cureus Nodular Spindle Cell Vascular Transformation In Pelvic Lymph Nodes With Discovered On Gist1 Dog1 Positivity Mimicking Metastatic Gastrointestinal Stromal Tumor

Https Encrypted Tbn0 Gstatic Com Images Q Tbn And9gcsm7gjelly4x579xztgrmt4uw5mchm42xtwooh Kydsariembzs Usqp Cau

Https Encrypted Tbn0 Gstatic Com Images Q Tbn And9gcsm7gjelly4x579xztgrmt4uw5mchm42xtwooh Kydsariembzs Usqp Cau

Source : pinterest.com